La mejor implantología inmediata en Valencia está en CES Dental
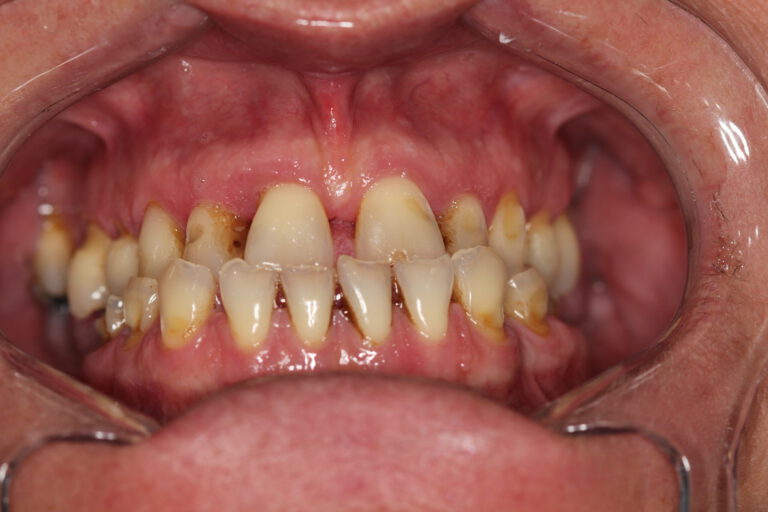
Tu sonrisa perfecta con la implantología inmediata en Valencia Recuperar una pieza dental dañada o perdida ya no significa someterse a largos procesos gracias a la implantología inmediata en Valencia. Este avanzado tratamiento dental permite la colocación de un implante y una prótesis provisional en una única intervención quirúrgica. De esta forma, sales de la…
