Skip to content
CES Dental
Clínica dental en Burjassot
CES DentalCES Dental
  • Implantes con carga inmediata
  • Clínica
  • Equipo
  • Servicios
    • Cirugía e implantología
    • Estética dental y diseño digital de sonrisas
    • Ortodoncia
    • Odontopediatría
    • Prótesis y carillas
    • Endodoncia microscópica
    • Nuevas tecnologías
    • Periodoncia
    • Sedación
  • Casos clínicos
  • Noticias
  • Contacto
Facebook page opens in new windowInstagram page opens in new window
  • Implantes con carga inmediata
  • Clínica
  • Equipo
  • Servicios
    • Cirugía e implantología
    • Estética dental y diseño digital de sonrisas
    • Ortodoncia
    • Odontopediatría
    • Prótesis y carillas
    • Endodoncia microscópica
    • Nuevas tecnologías
    • Periodoncia
    • Sedación
  • Casos clínicos
  • Noticias
  • Contacto

Daily Archives: 11 enero 2016

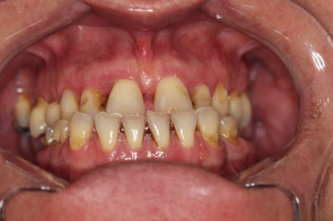
REHABILITACIÓN DENTAL COMPLETA. DISEÑAMOS TU NUEVA SONRISA.

NoticiasBy websystem11 enero 2016

                   La clínica CES DENTAL cuenta con un equipo de profesionales altamente formados en diferentes campos de la odontología, lo que permite un análisis y estudio detallado de cada caso concreto para ofrecer las mejores opciones a cada paciente. En la primera visita con nuestro especialista en Rehabilitación…

Go to Top
Gestionar consentimiento
Utilizamos cookies para optimizar nuestro sitio web y nuestro servicio.
Funcional Siempre activo
El almacenamiento o acceso técnico es estrictamente necesario para el propósito legítimo de permitir el uso de un servicio específico explícitamente solicitado por el abonado o usuario, o con el único propósito de llevar a cabo la transmisión de una comunicación a través de una red de comunicaciones electrónicas.
Preferencias
El almacenamiento o acceso técnico es necesario para la finalidad legítima de almacenar preferencias no solicitadas por el abonado o usuario.
Estadísticas
El almacenamiento o acceso técnico que es utilizado exclusivamente con fines estadísticos. El almacenamiento o acceso técnico que se utiliza exclusivamente con fines estadísticos anónimos. Sin un requerimiento, el cumplimiento voluntario por parte de tu proveedor de servicios de Internet, o los registros adicionales de un tercero, la información almacenada o recuperada sólo para este propósito no se puede utilizar para identificarte.
Marketing
El almacenamiento o acceso técnico es necesario para crear perfiles de usuario para enviar publicidad, o para rastrear al usuario en una web o en varias web con fines de marketing similares.
  • Administrar opciones
  • Gestionar los servicios
  • Gestionar {vendor_count} proveedores
  • Leer más sobre estos propósitos
Preferencias
  • {title}
  • {title}
  • {title}