La clínica CES DENTAL cuenta con un equipo de profesionales altamente formados en diferentes campos de la odontología, lo que permite un análisis y estudio detallado de cada caso concreto para ofrecer las mejores opciones a cada paciente.
En la primera visita con nuestro especialista en Rehabilitación y Estética Dental, el Dr. Carlos Doménech, se realiza un análisis estético minucioso, que engloba la toma de radiografías, fotografías, registro de medidas y proporciones dento-faciales, toma de impresiones para obtener modelos de estudio. Con todo ello procedemos a realizar un diseño estético de la sonrisa y el laboratorio nos realiza un encerado diagnóstico para la realización de una prueba estética directa (mock up). En CES DENTAL evaluamos todos los aspectos necesarios para que el tratamiento dental sea funcional a la vez que estético y que el paciente quede completamente satisfecho con el trabajo realizado. Para todo ello es necesario saber las expectativas del paciente y que éste conozca el abanico de posibilidades que podemos plantear.
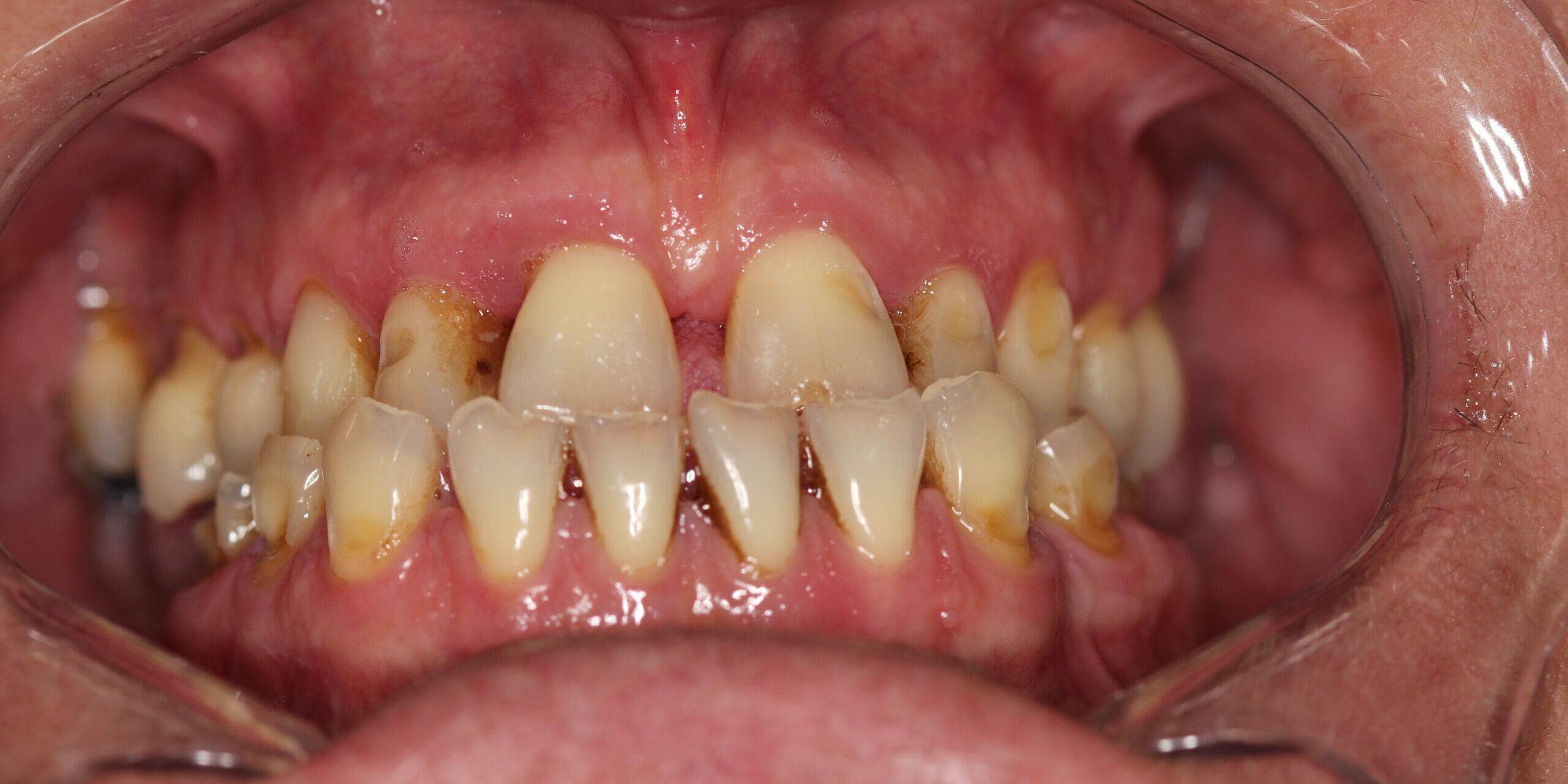
En este caso concreto, la paciente precisa de un tratamiento previo de saneamiento buco-dental que engloba un tratamiento periodontal, múltiples obturaciones y endodoncias para la conservación de las piezas dentales viables. Una vez finalizada esta primera fase de saneamiento dental, pasamos a una segunda fase de rehabilitación y reposición de piezas perdidas mediante implantes y protesis fija.
Tras el tratamiento por varios especialistas en diferentes áreas de la odontología obtenemos unos resultados totalmente satisfactorios.





