Diagnóstico
Paciente de 18 años de edad que acude a clínica dental de urgencia y refiere gran movilidad en la pieza 1.1. con molestias en la misma y mal olor continuo en la boca. A la exploración presenta una encía muy inflamada con exudado purulento, mal olor y movilidad por separación de una obturación provisional de fragmento mínimo de raíz que le queda en boca.
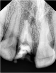
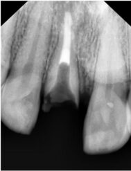
Realizamos radiografía panorámica y periapical de la zona, donde podemos observar que le queda un resto radicular, el cual presenta una gran infección periapical, parece llevar intraconducto un material intraconducto y una obturación provisional sobre el mismo. Esta obturación provisional está completamente suelta y filtrada.
La paciente nota que se le mueve mucho el diente y teme que se le caiga el diente y pueda quedarse sin nada, puesto que no quiere ir sin diente.
Una vez evaluada la situación inicial y advirtiendo el pronóstico reservado que presenta de la pieza 1.1 debido al mal estado inicial, proponemos el siguiente plan de tratamiento dividido en dos fases. Debido a la corta edad de la paciente se descarta la colocación de implante. La paciente desea por todos los medios que intentemos salvar su incisivo:
Fase 1: Tratamiento Conservador de la pieza:
- Apicoformación con MTA del resto radicular que presenta para la formación de un stop apical y su posterior tratamiento endodóntico con técnica de obturación termoplástica.
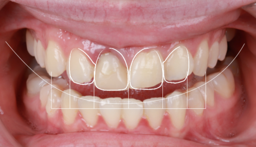
- Alargamiento coronario para dejar un margen de al menos 2mm de ferrule para poder reconstruir el diente, ya que actualmente solo tiene una raíz a margen de encía. Si no se realiza un alargamiento el margen del diente está a nivel subgingival y no sería viable, realizamos un DSD (diseño digital de sonrisa) para enseñar a la paciente como quedaría. Siendo el único modo de conservar el diente.
- Reconstrucción de toda la corona con composite y colocación de un poste de fibra de vidrio intraradicular.
Fase 2: Tratamiento Estético de 4 carillas de porcelana en incisivos tras la maduración final de la encia:
- Toma de registros fotográficos y realización de un DSD, diseño digital de sonrisa. Donde diseñamos y programamos por ordenador cómo es la sonrisa que nos gustaría para la paciente.
- Realizamos un Mock Up, o lo que es lo mismo, una prueba donde trasladamos a la boca de la paciente el diseño que hemos realizado por ordenador de cómo queremos que queden sus dientes.
- Procedemos a la micro preparación de los dientes y a la toma de registros digitales para que el laboratorio realice las micro carillas de porcelana
- Colocación y fotos finales de las carillas en boca de la paciente.
Tratamiento conservador del diente dañado
Procedemos a la realización del tratamiento conservador. Empezando por la apicoformación, endodoncia y restauración del diente. A continuación podemos ver una sucesión de radiografías con la evolución del tratamiento del paciente y la intervención realizada.
Tratamiento estético del frente anterior
Tras el tratamiento inicial esperamos 6 meses a la cicatrización final de la encia. Posteriormente realizamos un blanqueamiento radicular y una nueva reconstrucción para mejorar la estétcia. Realizamos un DSD, o lo que es lo mismo Diseño Digital de Sonrisa (Dental Smile Design) para finalizar el caso con unas carillas dentales en los 4 incisivos superiores. Realizamos el mock up para probar en boca como quedarán antes de realizarlas. Realizamos la micro-preparación de las carillas y la colocación final de las mismas.










